Titanium Dental Clinic
Implantologist & Smile Make-over expert
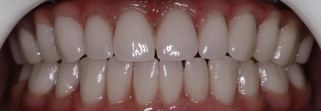
Titanium Dental Clinic is the finest & most advanced dental clinic located in Ahmedabad city of Gujarat. Titanium Dental Clinic is a holistic center specialized for your dental care. The prime vision to start such an advanced technological and high standard clinic is to provide complete oral health to the masses
